Services


Our Pathology Services in Fairfield, CT


Autopsy

Clinical Pathology

Cytopathology

Dermatopathology

icon-5

Flow Cytometry

icon-6

Gastrointestinal and Hepatobiliary Pathology

icon-7

Genitourinary and Gynecologic Pathology

icon-8

Hematopathology

icon-9

Histology

icon-10

Oncologic Pathology

icon-11

Support Services

icon-12

Surgical Pathology

Breast Cancer

Colon-Cancer

Colon Cancer

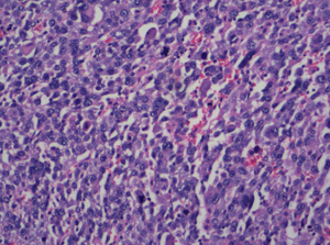
Malignant Melanoma

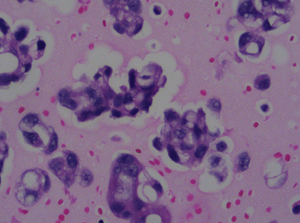
Pleural-Fluid-with-Metastatic-Cancer

Pleural Fluid with
Metastatic Cancer

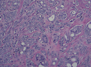
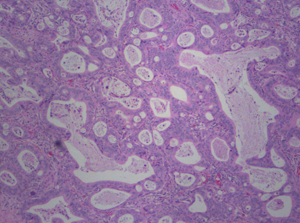
Prostate-Cancer

Prostate Cancers

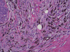
Soft-Tissue-Sarcoma

Soft Tissue Sarcoma